JavaScript is disabled in your browser. Please enable JavaScript to view this website.

Anti-CIRP antibody [EPR18783] - BSA and Azide free(ab238946)

$undefined

Anti-CIRP antibody [EPR18783] - BSA and Azide free(ab238946)

Anti-CIRP antibody [EPR18783] - BSA and Azide free(ab238946)

Anti-CIRP antibody [EPR18783] - BSA and Azide free(ab238946)

Anti-CIRP antibody [EPR18783] - BSA and Azide free(ab238946)

Anti-CIRP antibody [EPR18783] - BSA and Azide free(ab238946)

Anti-CIRP antibody [EPR18783] - BSA and Azide free(ab238946)

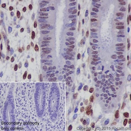
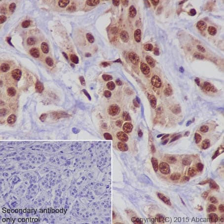
Rabbit Recombinant Monoclonal CIRP antibody. Carrier free. Suitable for IP, WB, ICC/IF, IHC-P and reacts with Human samples.
Specifications
Shipped At Conditions Blue Ice
Appropriate Long term Storage Conditions Store at +4°C.
Clonality Monoclonal
Applications ICC/IF, IHC-P, IP, WB
Species Reactivity Human
Isotype IgG