JavaScript is disabled in your browser. Please enable JavaScript to view this website.

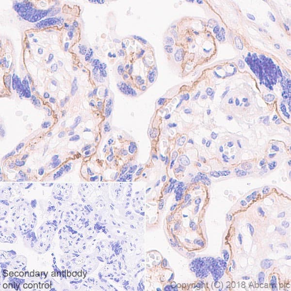
Anti-Laminin 2 alpha antibody [EPR21890] - BSA and Azide free(AB238458)

$undefined

Anti-Laminin 2 alpha antibody [EPR21890] - BSA and Azide free(AB238458)

Anti-Laminin 2 alpha antibody [EPR21890] - BSA and Azide free(AB238458)

Anti-Laminin 2 alpha antibody [EPR21890] - BSA and Azide free(AB238458)

Rabbit Recombinant Monoclonal Laminin 2 alpha antibody. Carrier free. Suitable for IHC-P and reacts with Human samples.
Specifications
Shipped At Conditions Blue Ice
Appropriate Long term Storage Conditions Store at +4°C.
Clonality Monoclonal
Applications IHC-P
Species Reactivity Human
Isotype IgG