JavaScript is disabled in your browser. Please enable JavaScript to view this website.

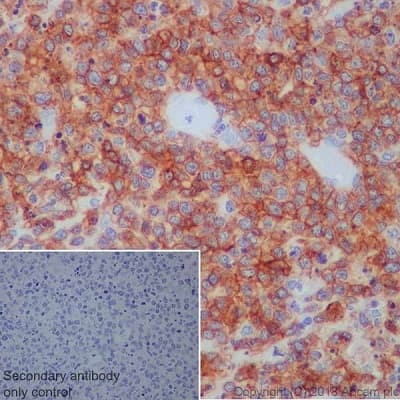
Anti-CD94 antibody [EPR21003] - BSA and Azide free(AB238166)

$undefined

Anti-CD94 antibody [EPR21003] - BSA and Azide free(AB238166)

Rabbit Recombinant Monoclonal CD94 antibody. Carrier free. Suitable for IHC-P, WB, IP and reacts with Human samples. Cited in 1 publication.
Specifications
Shipped At Conditions Blue Ice
Appropriate Long term Storage Conditions Store at +4°C.
Clonality Monoclonal
Applications IHC-P, IP, WB
Species Reactivity Human
Isotype IgG