JavaScript is disabled in your browser. Please enable JavaScript to view this website.

Anti-PSD95 antibody [EPR23124-118] - Synaptic Marker(AB238135)

$undefined

Anti-PSD95 antibody [EPR23124-118] - Synaptic Marker(AB238135)

Anti-PSD95 antibody [EPR23124-118] - Synaptic Marker(AB238135)

Anti-PSD95 antibody [EPR23124-118] - Synaptic Marker(AB238135)

Anti-PSD95 antibody [EPR23124-118] - Synaptic Marker(AB238135)

Anti-PSD95 antibody [EPR23124-118] - Synaptic Marker(AB238135)

Anti-PSD95 antibody [EPR23124-118] - Synaptic Marker(AB238135)

Anti-PSD95 antibody [EPR23124-118] - Synaptic Marker(AB238135)

Anti-PSD95 antibody [EPR23124-118] - Synaptic Marker(AB238135)

Anti-PSD95 antibody [EPR23124-118] - Synaptic Marker(AB238135)

Anti-PSD95 antibody [EPR23124-118] - Synaptic Marker(AB238135)

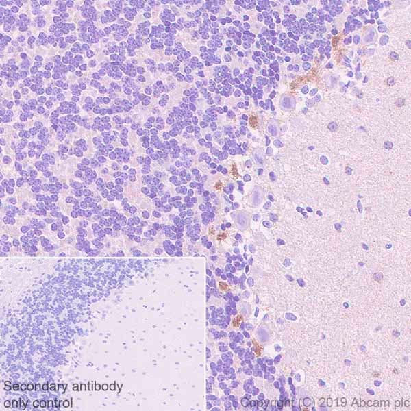
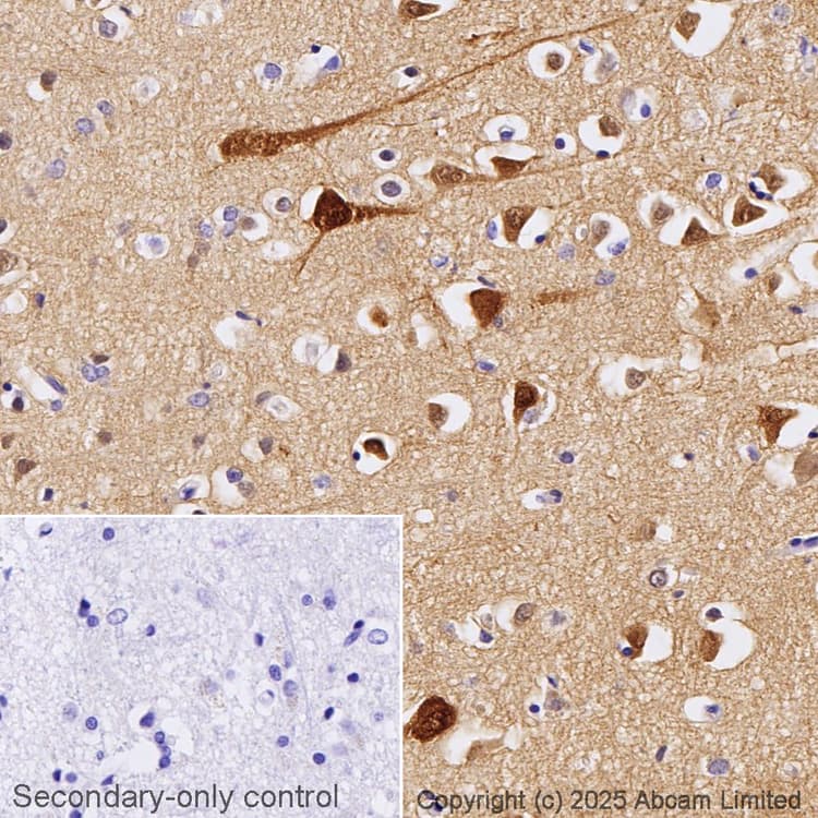
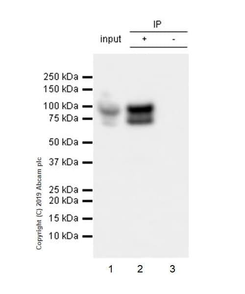
Anti-PSD95 antibody [EPR23124-118] ab238135 is a rabbit monoclonal antibody that is used in PSD95 western blotting and IHC. Suitable for human, mouse and rat samples.

- Recombinant format for unrivaled batch-batch consistency: no need for same-lot requests
- Specificity confirmed with Dlg4 knockout cell line validation
Specifications
Shipped At Conditions Blue Ice
Appropriate Long term Storage Conditions Store at -20°C.
Clonality Monoclonal
Applications ICC/IF, IHC-Fr, IHC-P, IP, WB
Species Reactivity Human, Mouse, Rat
Isotype IgG