JavaScript is disabled in your browser. Please enable JavaScript to view this website.

Anti-GABA B Receptor 1 antibody [EPR22954-47](AB238130)

$undefined

Anti-GABA B Receptor 1 antibody [EPR22954-47](AB238130)

Anti-GABA B Receptor 1 antibody [EPR22954-47](AB238130)

Anti-GABA B Receptor 1 antibody [EPR22954-47](AB238130)

Anti-GABA B Receptor 1 antibody [EPR22954-47](AB238130)

Anti-GABA B Receptor 1 antibody [EPR22954-47](AB238130)

Anti-GABA B Receptor 1 antibody [EPR22954-47](AB238130)

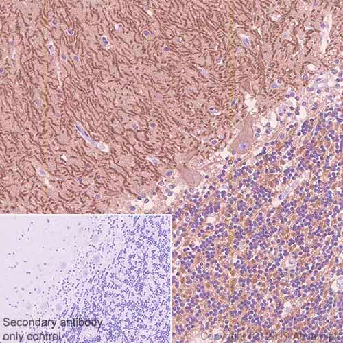
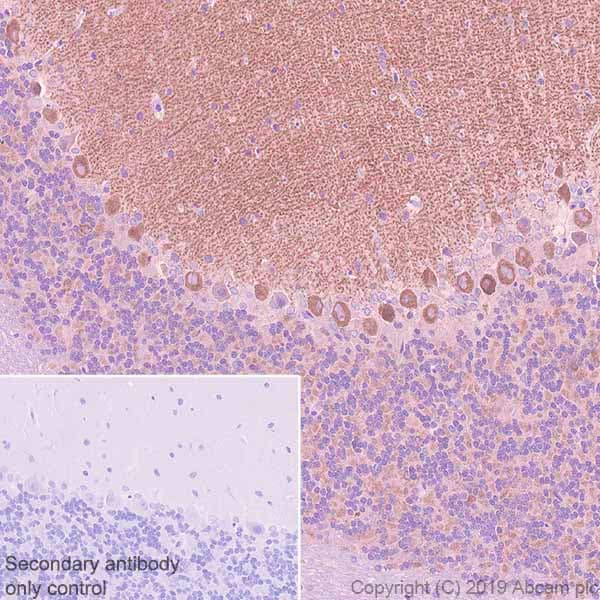
Rabbit Recombinant Monoclonal GabA B Receptor 1 antibody. Suitable for WB, IHC-Fr, IHC-P and reacts with Mouse, Rat, Human samples. Cited in 3 publications.
Specifications
Shipped At Conditions Blue Ice
Appropriate Long term Storage Conditions Store at -20°C.
Clonality Monoclonal
Applications Flow Cyt, ICC/IF, IHC-Fr, IHC-P, IP, WB
Species Reactivity Human, Mouse, Rat
Isotype IgG