JavaScript is disabled in your browser. Please enable JavaScript to view this website.

Anti-beta Catenin antibody [CTNNB1/2030R] - BSA and Azide free(ab237826)

$undefined

Anti-beta Catenin antibody [CTNNB1/2030R] - BSA and Azide free(ab237826)

Anti-beta Catenin antibody [CTNNB1/2030R] - BSA and Azide free(ab237826)

Anti-beta Catenin antibody [CTNNB1/2030R] - BSA and Azide free(ab237826)

Anti-beta Catenin antibody [CTNNB1/2030R] - BSA and Azide free(ab237826)

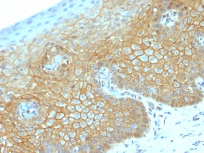
Rabbit Recombinant Monoclonal beta Catenin antibody. Carrier free. Suitable for WB, Protein Array, IHC-P and reacts with Human, Recombinant full length protein - Human samples. Immunogen corresponding to Recombinant Full Length Protein corresponding to Human CTNNB1.
Specifications
Shipped At Conditions Blue Ice
Appropriate Long term Storage Conditions Store at -20°C.
Clonality Monoclonal
Applications IHC-P, Protein Array, WB
Species Reactivity Human
Isotype IgG