JavaScript is disabled in your browser. Please enable JavaScript to view this website.

Anti-Mast Cell Tryptase antibody [AA1](ab2378)

$undefined

Anti-Mast Cell Tryptase antibody [AA1](ab2378)

Anti-Mast Cell Tryptase antibody [AA1](ab2378)

Anti-Mast Cell Tryptase antibody [AA1](ab2378)

Anti-Mast Cell Tryptase antibody [AA1](ab2378)

Anti-Mast Cell Tryptase antibody [AA1](ab2378)

Anti-Mast Cell Tryptase antibody [AA1](ab2378)

Anti-Mast Cell Tryptase antibody [AA1](ab2378)

Anti-Mast Cell Tryptase antibody [AA1](ab2378)

Anti-Mast Cell Tryptase antibody [AA1](ab2378)

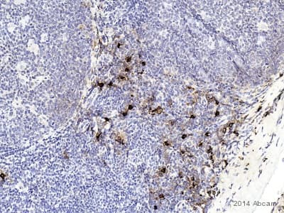
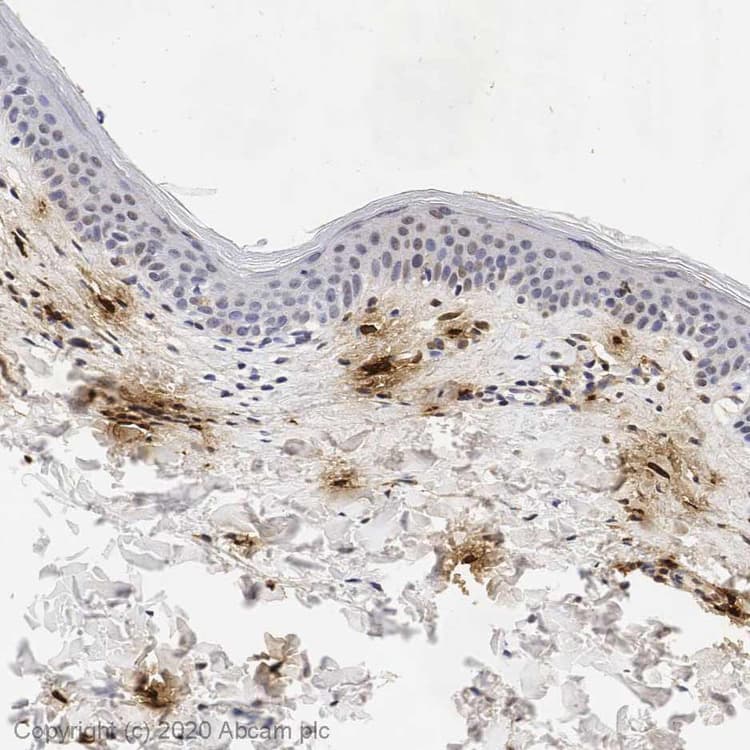
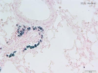
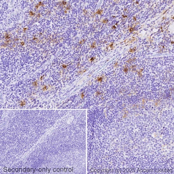
Anti-Mast Cell Tryptase antibody [AA1] ab2378 is a mouse monoclonal antibody that is used in Mast Cell Tryptase western blotting and IHC. Suitable for human samples.

- Antibody clone AA1 is the most widely used clone for Mast Cell Tryptase on the market and is cited in >140 publications
Specifications
Shipped At Conditions Blue Ice
Appropriate Long term Storage Conditions Store at -20°C.
Clonality Monoclonal
Applications IHC-P, WB
Species Reactivity Human
Isotype IgG1