JavaScript is disabled in your browser. Please enable JavaScript to view this website.

Anti-MMP9 antibody [EPR22140-154] - BSA and Azide free(ab237782)

$undefined

Anti-MMP9 antibody [EPR22140-154] - BSA and Azide free(ab237782)

Anti-MMP9 antibody [EPR22140-154] - BSA and Azide free(ab237782)

Anti-MMP9 antibody [EPR22140-154] - BSA and Azide free(ab237782)

Anti-MMP9 antibody [EPR22140-154] - BSA and Azide free(ab237782)

Anti-MMP9 antibody [EPR22140-154] - BSA and Azide free(ab237782)

Anti-MMP9 antibody [EPR22140-154] - BSA and Azide free(ab237782)

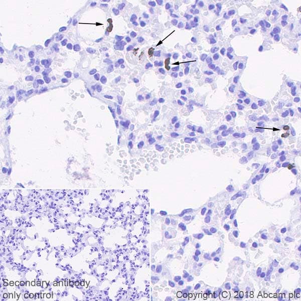
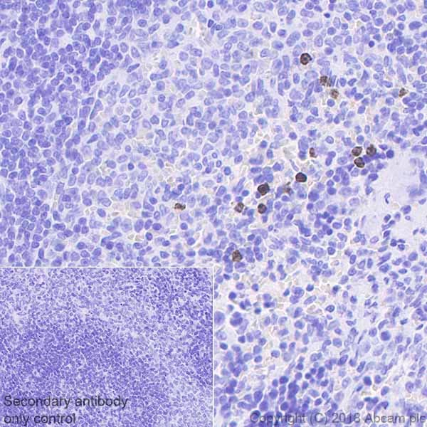
Rabbit Recombinant Monoclonal MMP9 antibody. Carrier free. Suitable for IHC-P, IP, WB, IHC-Fr and reacts with Rat, Mouse samples. Cited in 1 publication.
Specifications
Shipped At Conditions Blue Ice
Appropriate Long term Storage Conditions Store at +4°C.
Clonality Monoclonal
Applications IHC-Fr, IHC-P, IP, WB
Species Reactivity Mouse, Rat
Isotype IgG