JavaScript is disabled in your browser. Please enable JavaScript to view this website.

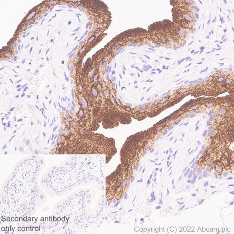
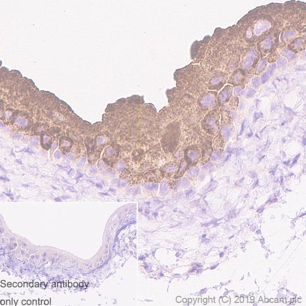
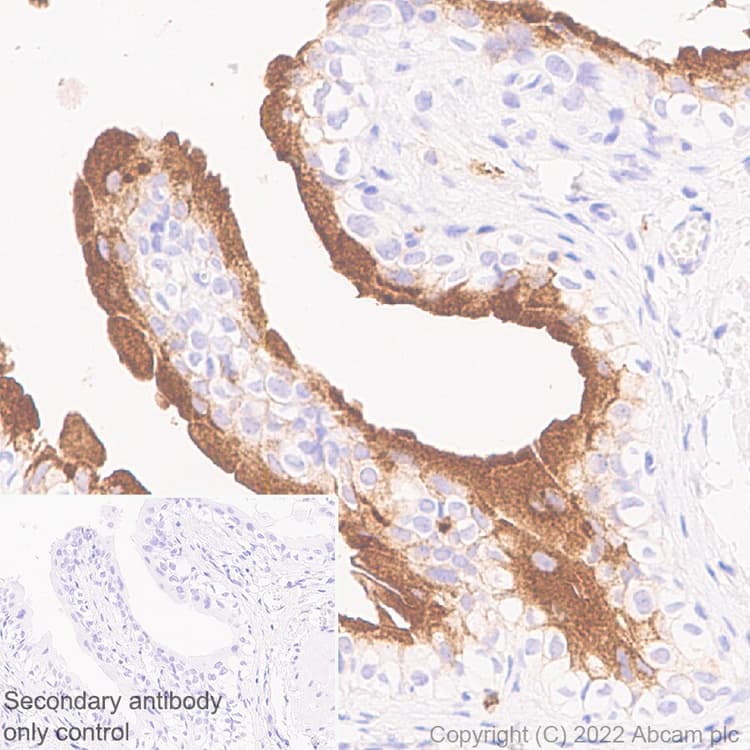
Anti-Uroplakin Ib/UPIb antibody [2N23](ab237777)

$undefined

Anti-Uroplakin Ib/UPIb antibody [2N23](ab237777)

Anti-Uroplakin Ib/UPIb antibody [2N23](ab237777)

Anti-Uroplakin Ib/UPIb antibody [2N23](ab237777)

Anti-Uroplakin Ib/UPIb antibody [2N23](ab237777)

Anti-Uroplakin Ib/UPIb antibody [2N23](ab237777)

Anti-Uroplakin Ib/UPIb antibody [2N23](ab237777)

Anti-Uroplakin Ib/UPIb antibody [2N23](ab237777)

Mouse Recombinant Monoclonal Uroplakin Ib/UPIb antibody. Suitable for IHC-Fr, IHC-P and reacts with Mouse, Rat samples. Cited in 1 publication.
Specifications
Shipped At Conditions Blue Ice
Appropriate Long term Storage Conditions Store at -20°C.
Clonality Monoclonal
Applications IHC-Fr, IHC-P, WB
Species Reactivity Mouse, Rat
Isotype IgG2b