JavaScript is disabled in your browser. Please enable JavaScript to view this website.

Anti-PAX5 antibody [SP34] - BSA and Azide free(ab237773)

$undefined

Anti-PAX5 antibody [SP34] - BSA and Azide free(ab237773)

Anti-PAX5 antibody [SP34] - BSA and Azide free(ab237773)

Anti-PAX5 antibody [SP34] - BSA and Azide free(ab237773)

Anti-PAX5 antibody [SP34] - BSA and Azide free(ab237773)

Anti-PAX5 antibody [SP34] - BSA and Azide free(ab237773)

Anti-PAX5 antibody [SP34] - BSA and Azide free(ab237773)

Anti-PAX5 antibody [SP34] - BSA and Azide free(ab237773)

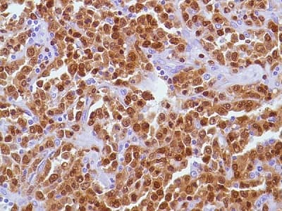
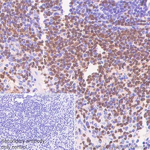
Rabbit Recombinant Monoclonal PAX5 antibody. Carrier free. Suitable for IP, ChIP, Flow Cyt (Intra), WB, IHC-P and reacts with Human, Rat samples.
Specifications
Shipped At Conditions Blue Ice
Appropriate Long term Storage Conditions Store at +4°C.
Clonality Monoclonal
Applications ChIP, Flow Cyt (Intra), IHC-P, IP, WB
Species Reactivity Human, Rat
Isotype IgG