JavaScript is disabled in your browser. Please enable JavaScript to view this website.

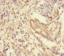
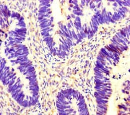
Anti-14-3-3 gamma/YWHAG antibody(ab237732)

$undefined

Anti-14-3-3 gamma/YWHAG antibody(ab237732)

Anti-14-3-3 gamma/YWHAG antibody(ab237732)

Anti-14-3-3 gamma/YWHAG antibody(ab237732)

Anti-14-3-3 gamma/YWHAG antibody(ab237732)

Rabbit Polyclonal 1433G antibody. Suitable for IP, WB, IHC-P and reacts with Human, Mouse, Rat samples. Immunogen corresponding to Recombinant Fragment Protein within Human YWHAG aa 100-200.
Specifications
Shipped At Conditions Blue Ice
Appropriate Long term Storage Conditions Store at -20°C.
Clonality Polyclonal
Applications IHC-P, IP, WB
Species Reactivity Human, Mouse, Rat
Isotype IgG