JavaScript is disabled in your browser. Please enable JavaScript to view this website.

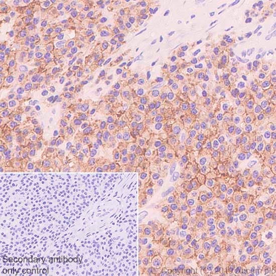
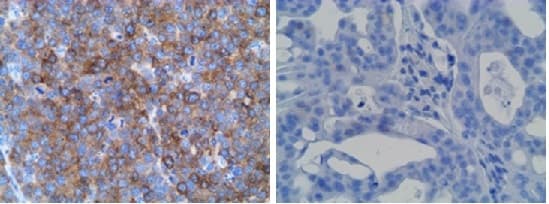
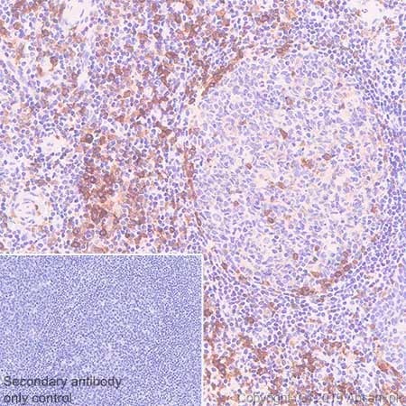
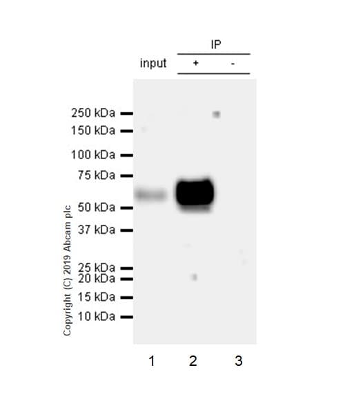
Anti-SLAMF7/CS1 antibody [CAL7](ab237730)

$undefined

Anti-SLAMF7/CS1 antibody [CAL7](ab237730)

Anti-SLAMF7/CS1 antibody [CAL7](ab237730)

Anti-SLAMF7/CS1 antibody [CAL7](ab237730)

Anti-SLAMF7/CS1 antibody [CAL7](ab237730)

Anti-SLAMF7/CS1 antibody [CAL7](ab237730)

Anti-SLAMF7/CS1 antibody [CAL7](ab237730)

Anti-SLAMF7/CS1 antibody [CAL7](ab237730)

Rabbit Recombinant Monoclonal SLAMF7/CS1 antibody. Suitable for IP, WB, IHC-P and reacts with Human samples. Cited in 1 publication.
Specifications
Shipped At Conditions Blue Ice
Appropriate Long term Storage Conditions Store at -20°C.
Clonality Monoclonal
Applications Flow Cyt, ICC/IF, IHC-P, IP, WB
Species Reactivity Human
Isotype IgG