JavaScript is disabled in your browser. Please enable JavaScript to view this website.

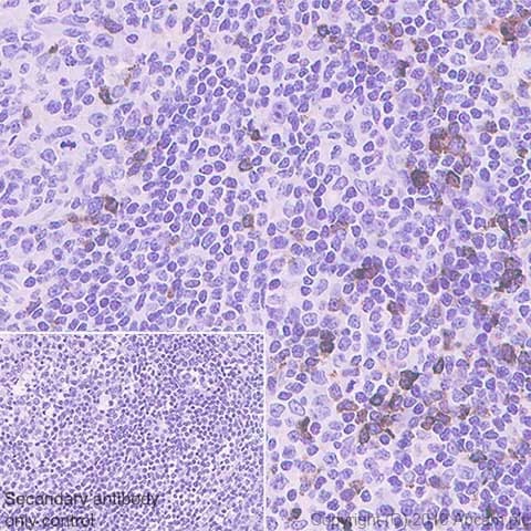
Anti-LAG-3 antibody [CAL26](ab237719)

$undefined

Anti-LAG-3 antibody [CAL26](ab237719)

Anti-LAG-3 antibody [CAL26](ab237719)

Anti-LAG-3 antibody [CAL26](ab237719)

Anti-LAG-3 antibody [CAL26](ab237719)

Anti-LAG-3 antibody [CAL26](ab237719)

Anti-LAG-3 antibody [CAL26](ab237719)

Anti-LAG-3 antibody [CAL26](ab237719)

Rabbit Recombinant Monoclonal LAG-3 antibody. Suitable for IP, Flow Cyt (Intra), WB, IHC-P and reacts with Human samples.
Specifications
Shipped At Conditions Blue Ice
Appropriate Long term Storage Conditions Store at -20°C.
Clonality Monoclonal
Applications Flow Cyt (Intra), ICC/IF, IHC-P, IP, WB
Species Reactivity Human
Isotype IgG