JavaScript is disabled in your browser. Please enable JavaScript to view this website.

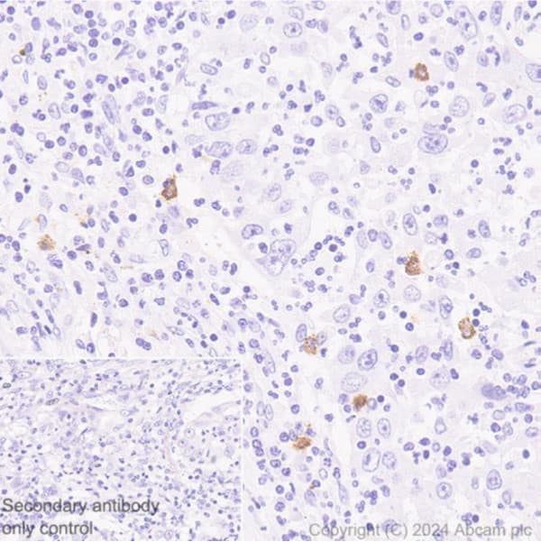
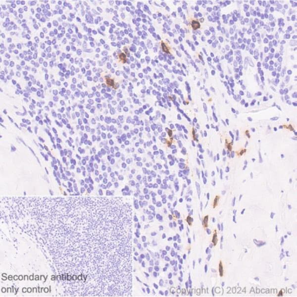
Anti-Mast Cell Chymase antibody [CC1](ab2377)

$undefined

Anti-Mast Cell Chymase antibody [CC1](ab2377)

Anti-Mast Cell Chymase antibody [CC1](ab2377)

Anti-Mast Cell Chymase antibody [CC1](ab2377)

Anti-Mast Cell Chymase antibody [CC1](ab2377)

Mouse Recombinant Monoclonal Mast Cell Chymase antibody. Suitable for IHC-P and reacts with Human samples. Cited in 36 publications.
Specifications
Shipped At Conditions Blue Ice
Appropriate Long term Storage Conditions Store at -20°C.
Clonality Monoclonal
Applications IHC-P, WB
Species Reactivity Human
Isotype IgG1