JavaScript is disabled in your browser. Please enable JavaScript to view this website.

Anti-RUNX2 antibody [EPR22858-106] - ChIP Grade(AB236639)

$undefined

Anti-RUNX2 antibody [EPR22858-106] - ChIP Grade(AB236639)

Anti-RUNX2 antibody [EPR22858-106] - ChIP Grade(AB236639)

Anti-RUNX2 antibody [EPR22858-106] - ChIP Grade(AB236639)

Anti-RUNX2 antibody [EPR22858-106] - ChIP Grade(AB236639)

Anti-RUNX2 antibody [EPR22858-106] - ChIP Grade(AB236639)

Anti-RUNX2 antibody [EPR22858-106] - ChIP Grade(AB236639)

Anti-RUNX2 antibody [EPR22858-106] - ChIP Grade(AB236639)

Anti-RUNX2 antibody [EPR22858-106] - ChIP Grade(AB236639)

Anti-RUNX2 antibody [EPR22858-106] - ChIP Grade(AB236639)

Anti-RUNX2 antibody [EPR22858-106] - ChIP Grade(AB236639)

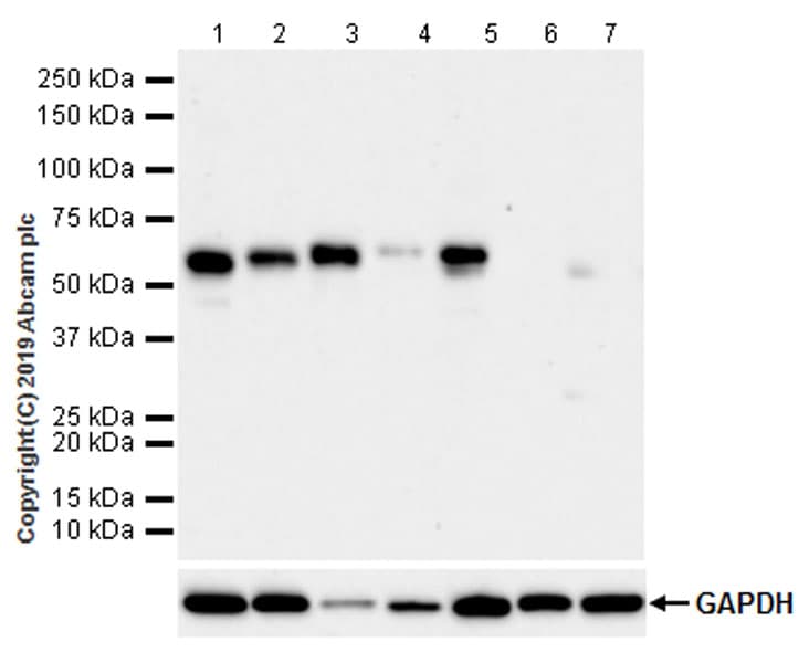
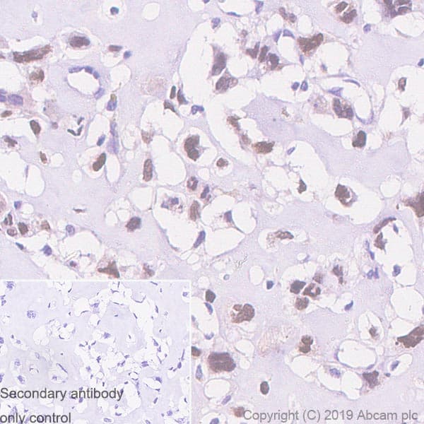
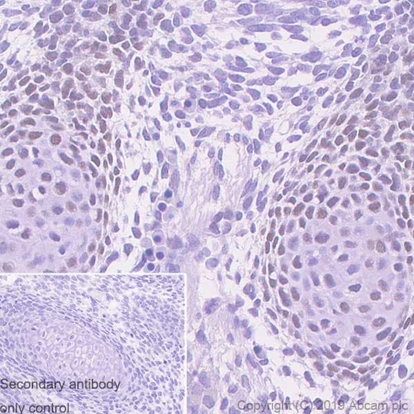
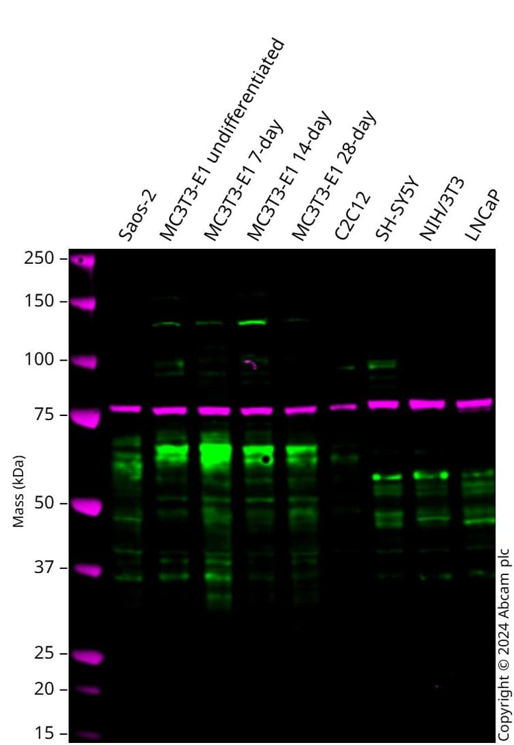
Anti-RUNX2 antibody [EPR22858-106] ab236639 is a rabbit monoclonal antibody that is used in RUNX2 western blotting and IHC. Suitable for human, mouse and rat samples.

- Recombinant format for unrivaled batch-batch consistency: no need for same-lot requests
- Specificity and sensitivity confirmed in IHC with multi-tissue microarray (TMA) validation
Specifications
Shipped At Conditions Blue Ice
Appropriate Long term Storage Conditions Store at -20°C.
Clonality Monoclonal
Applications ChIC/CUT&RUN-seq, ChIP, Flow Cyt, ICC/IF, IHC-P, IP, WB
Species Reactivity Human, Mouse, Rat
Isotype IgG