JavaScript is disabled in your browser. Please enable JavaScript to view this website.

Anti-CD9 antibody [EPR23105-121](AB236630)

$undefined

Anti-CD9 antibody [EPR23105-121](AB236630)

Anti-CD9 antibody [EPR23105-121](AB236630)

Anti-CD9 antibody [EPR23105-121](AB236630)

Anti-CD9 antibody [EPR23105-121](AB236630)

Anti-CD9 antibody [EPR23105-121](AB236630)

Anti-CD9 antibody [EPR23105-121](AB236630)

Anti-CD9 antibody [EPR23105-121](AB236630)

Anti-CD9 antibody [EPR23105-121](AB236630)

Anti-CD9 antibody [EPR23105-121](AB236630)

Anti-CD9 antibody [EPR23105-121](AB236630)

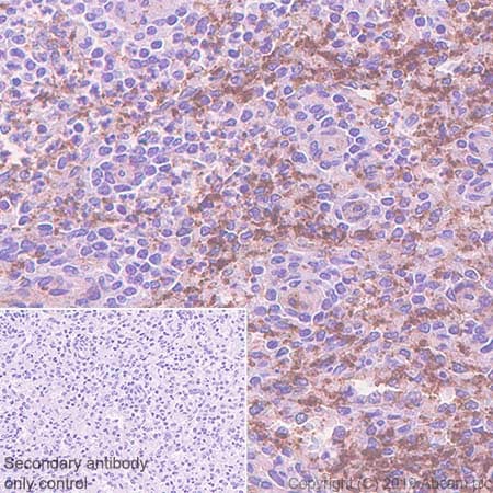
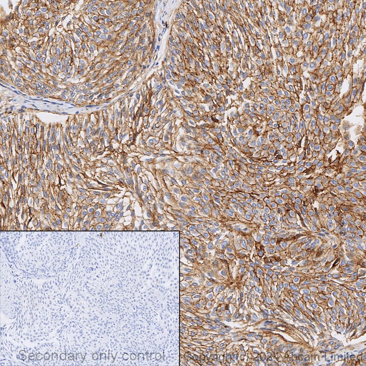
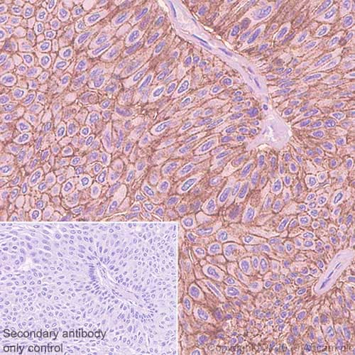
Anti-CD9 antibody [EPR23105-121] ab236630 is a rabbit monoclonal antibody that is used in CD9 western blotting, IHC, immunofluorescence and flow cytometry. Suitable for human samples.

- Recombinant format for unrivaled batch-batch consistency: no need for same-lot requests
- Specificity confirmed with CD9 knockout cell line validation
- Specificity and sensitivity confirmed in IHC with multi-tissue microarray (TMA) validation
- Antibody clone EPR23105-121 is cited in over 130 publications
Specifications
Shipped At Conditions Blue Ice
Appropriate Long term Storage Conditions Store at -20°C.
Clonality Monoclonal
Applications Flow Cyt, ICC/IF, IHC-P, IP, WB
Species Reactivity Human
Isotype IgG