JavaScript is disabled in your browser. Please enable JavaScript to view this website.

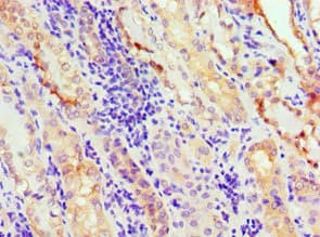
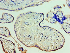
Anti-Annexin-11/ANXA11 antibody(AB236599)

$undefined

Anti-Annexin-11/ANXA11 antibody(AB236599)

Anti-Annexin-11/ANXA11 antibody(AB236599)

Anti-Annexin-11/ANXA11 antibody(AB236599)

Anti-Annexin-11/ANXA11 antibody(AB236599)

Rabbit Polyclonal Annexin-11/ANXA11 antibody. Suitable for WB, IHC-P, ICC/IF and reacts with Human samples. Immunogen corresponding to Recombinant Fragment Protein within Human Annexin A11 aa 1-200.
Specifications
Shipped At Conditions Blue Ice
Appropriate Long term Storage Conditions Store at -20°C.
Clonality Polyclonal
Applications ICC/IF, IHC-P, WB
Species Reactivity Human
Isotype IgG