JavaScript is disabled in your browser. Please enable JavaScript to view this website.

Anti-MTF1 antibody [OTI2F3](ab236401)

$undefined

Anti-MTF1 antibody [OTI2F3](ab236401)

Anti-MTF1 antibody [OTI2F3](ab236401)

Anti-MTF1 antibody [OTI2F3](ab236401)

Anti-MTF1 antibody [OTI2F3](ab236401)

Anti-MTF1 antibody [OTI2F3](ab236401)

Anti-MTF1 antibody [OTI2F3](ab236401)

Anti-MTF1 antibody [OTI2F3](ab236401)

Anti-MTF1 antibody [OTI2F3](ab236401)

Anti-MTF1 antibody [OTI2F3](ab236401)

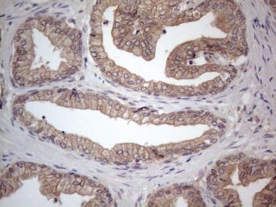
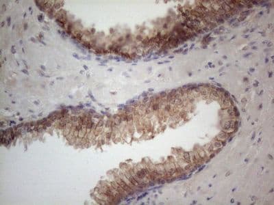
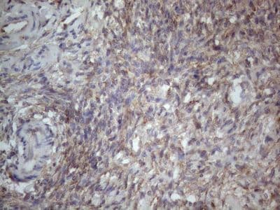
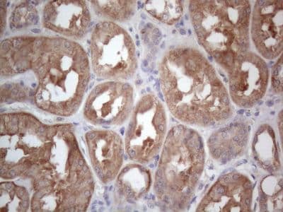
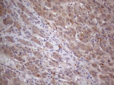
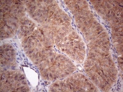
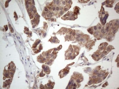
Mouse Monoclonal MTF1 antibody. Suitable for WB, IHC-P and reacts with Human samples. Cited in 2 publications. Immunogen corresponding to Recombinant Fragment Protein within Human MTF1 aa 1-300.
Specifications
Shipped At Conditions Blue Ice
Appropriate Long term Storage Conditions Store at -20°C.
Clonality Monoclonal
Applications IHC-P, WB
Species Reactivity Human
Isotype IgG1