JavaScript is disabled in your browser. Please enable JavaScript to view this website.

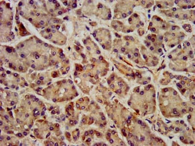
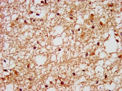
Anti-GPCR GPR40 antibody(ab236285)

$undefined

Anti-GPCR GPR40 antibody(ab236285)

Anti-GPCR GPR40 antibody(ab236285)

Anti-GPCR GPR40 antibody(ab236285)

Rabbit Polyclonal GPCR GPR40 antibody. Suitable for IHC-P, ICC/IF and reacts with Human samples. Cited in 3 publications. Immunogen corresponding to Recombinant Fragment Protein within Human Free fatty acid receptor 1 aa 100-200.
Specifications
Shipped At Conditions Blue Ice
Appropriate Long term Storage Conditions Store at -20°C.
Clonality Polyclonal
Applications ICC/IF, IHC-P
Species Reactivity Human
Isotype IgG