JavaScript is disabled in your browser. Please enable JavaScript to view this website.

Anti-GLP-1R antibody [EPR21819] - BSA and Azide free(ab236269)

$undefined

Anti-GLP-1R antibody [EPR21819] - BSA and Azide free(ab236269)

Anti-GLP-1R antibody [EPR21819] - BSA and Azide free(ab236269)

Anti-GLP-1R antibody [EPR21819] - BSA and Azide free(ab236269)

Anti-GLP-1R antibody [EPR21819] - BSA and Azide free(ab236269)

Anti-GLP-1R antibody [EPR21819] - BSA and Azide free(ab236269)

Anti-GLP-1R antibody [EPR21819] - BSA and Azide free(ab236269)

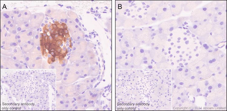
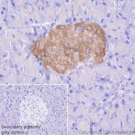
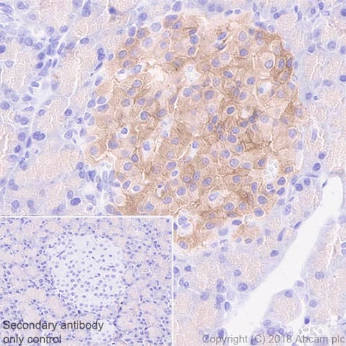
Rabbit Recombinant Monoclonal GLP-1R antibody. Carrier free. Suitable for WB, IHC-Fr, IHC-P and reacts with Mouse, Rat samples.
Specifications
Shipped At Conditions Blue Ice
Appropriate Long term Storage Conditions Store at +4°C.
Clonality Monoclonal
Applications IHC-Fr, IHC-P, WB
Species Reactivity Mouse, Rat
Isotype IgG