JavaScript is disabled in your browser. Please enable JavaScript to view this website.

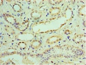
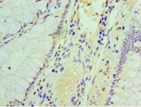
Anti-IFIT3/P60 antibody(ab236243)

$undefined

Anti-IFIT3/P60 antibody(ab236243)

Anti-IFIT3/P60 antibody(ab236243)

Anti-IFIT3/P60 antibody(ab236243)

Anti-IFIT3/P60 antibody(ab236243)

Anti-IFIT3/P60 antibody(ab236243)

Rabbit Polyclonal IFIT3/P60 antibody. Suitable for IP, WB, IHC-P, ICC/IF and reacts with Human samples. Cited in 1 publication. Immunogen corresponding to Recombinant Full Length Protein corresponding to Human IFIT3.
Specifications
Shipped At Conditions Blue Ice
Appropriate Long term Storage Conditions Store at -20°C.
Clonality Polyclonal
Applications ICC/IF, IHC-P, IP, WB
Species Reactivity Human
Isotype IgG