JavaScript is disabled in your browser. Please enable JavaScript to view this website.

Anti-Androgen Receptor antibody [SP242] - BSA and Azide free(ab236237)

$undefined

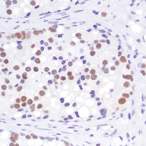
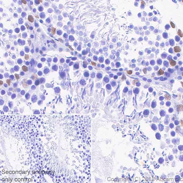
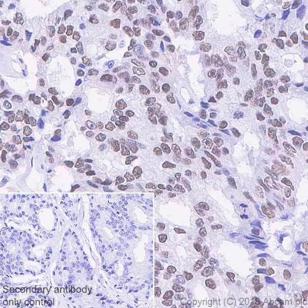
Anti-Androgen Receptor antibody [SP242] - BSA and Azide free(ab236237)

Anti-Androgen Receptor antibody [SP242] - BSA and Azide free(ab236237)

Anti-Androgen Receptor antibody [SP242] - BSA and Azide free(ab236237)

Anti-Androgen Receptor antibody [SP242] - BSA and Azide free(ab236237)

Anti-Androgen Receptor antibody [SP242] - BSA and Azide free(ab236237)

Rabbit Recombinant Monoclonal Androgen Receptor antibody. Carrier free. Suitable for IHC-P and reacts with Mouse, Rat, Human samples.
Specifications
Shipped At Conditions Blue Ice
Appropriate Long term Storage Conditions Store at +4°C.
Clonality Monoclonal
Applications IHC-P
Species Reactivity Human, Mouse, Rat
Isotype IgG