JavaScript is disabled in your browser. Please enable JavaScript to view this website.

Anti-Stathmin 1 antibody [SP49] - BSA and Azide free(ab236223)

$undefined

Anti-Stathmin 1 antibody [SP49] - BSA and Azide free(ab236223)

Anti-Stathmin 1 antibody [SP49] - BSA and Azide free(ab236223)

Anti-Stathmin 1 antibody [SP49] - BSA and Azide free(ab236223)

Anti-Stathmin 1 antibody [SP49] - BSA and Azide free(ab236223)

Anti-Stathmin 1 antibody [SP49] - BSA and Azide free(ab236223)

Anti-Stathmin 1 antibody [SP49] - BSA and Azide free(ab236223)

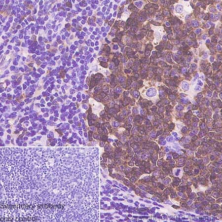
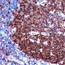
Rabbit Monoclonal Stathmin 1 antibody. Carrier free. Suitable for IHC-P, WB, ICC/IF, Flow Cyt (Intra) and reacts with Human, Mouse samples.
Specifications
Shipped At Conditions Blue Ice
Appropriate Long term Storage Conditions Store at +4°C.
Clonality Monoclonal
Applications Flow Cyt (Intra), ICC/IF, IHC-P, WB
Species Reactivity Human, Mouse
Isotype IgG