JavaScript is disabled in your browser. Please enable JavaScript to view this website.

Anti-PSMA4 antibody [EPR5831(2)] - BSA and Azide free(ab236158)

$undefined

Anti-PSMA4 antibody [EPR5831(2)] - BSA and Azide free(ab236158)

Anti-PSMA4 antibody [EPR5831(2)] - BSA and Azide free(ab236158)

Anti-PSMA4 antibody [EPR5831(2)] - BSA and Azide free(ab236158)

Anti-PSMA4 antibody [EPR5831(2)] - BSA and Azide free(ab236158)

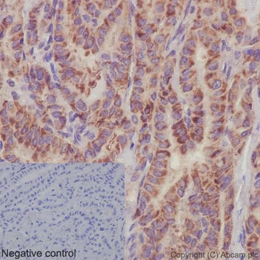
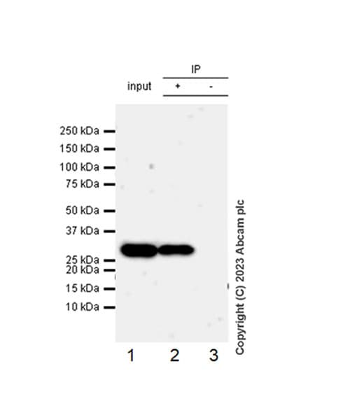
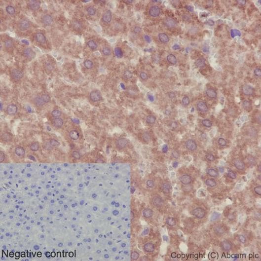
Rabbit Recombinant Monoclonal PSMA4 antibody. Carrier free. Suitable for IP, WB, ICC/IF, IHC-P and reacts with Human, Mouse, Rat samples.
Specifications
Shipped At Conditions Blue Ice
Appropriate Long term Storage Conditions Store at +4°C.
Clonality Monoclonal
Applications ICC/IF, IHC-P, IP, WB
Species Reactivity Human, Mouse, Rat
Isotype IgG