JavaScript is disabled in your browser. Please enable JavaScript to view this website.

Anti-CD27 antibody [EPR20585] - BSA and Azide free(ab236155)

$undefined

Anti-CD27 antibody [EPR20585] - BSA and Azide free(ab236155)

Anti-CD27 antibody [EPR20585] - BSA and Azide free(ab236155)

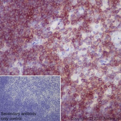
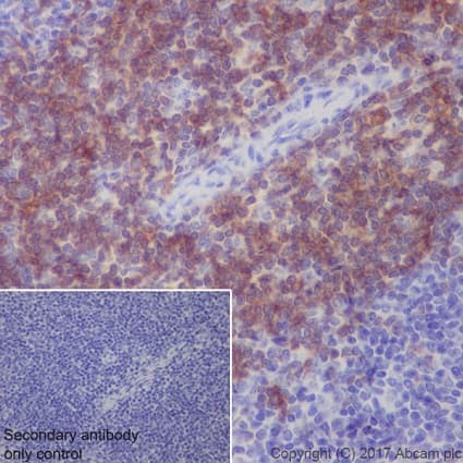
Rabbit Recombinant Monoclonal CD27 antibody. Carrier free. Suitable for IHC-P and reacts with Mouse samples.
Specifications
Shipped At Conditions Blue Ice
Appropriate Long term Storage Conditions Store at +4°C.
Clonality Monoclonal
Applications IHC-P
Species Reactivity Mouse
Isotype IgG