JavaScript is disabled in your browser. Please enable JavaScript to view this website.

Anti-HES5 antibody [EPR15578] - BSA and Azide free(ab236142)

$undefined

Anti-HES5 antibody [EPR15578] - BSA and Azide free(ab236142)

Anti-HES5 antibody [EPR15578] - BSA and Azide free(ab236142)

Anti-HES5 antibody [EPR15578] - BSA and Azide free(ab236142)

Anti-HES5 antibody [EPR15578] - BSA and Azide free(ab236142)

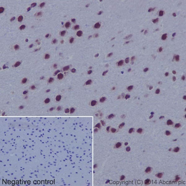
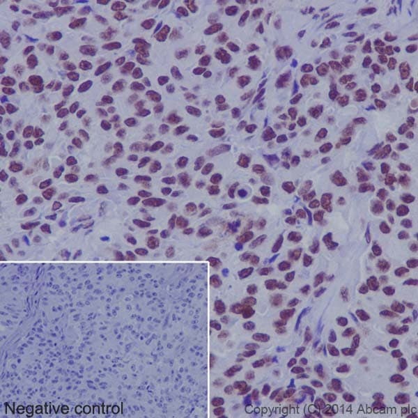
Rabbit Recombinant Monoclonal HES5 antibody. Carrier free. Suitable for IP, WB, IHC-P and reacts with Human, Mouse, Rat samples.
Specifications
Shipped At Conditions Blue Ice
Appropriate Long term Storage Conditions Store at +4°C.
Clonality Monoclonal
Applications IHC-P, IP, WB
Species Reactivity Human, Mouse, Rat
Isotype IgG