JavaScript is disabled in your browser. Please enable JavaScript to view this website.

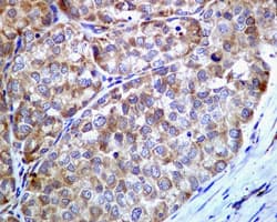
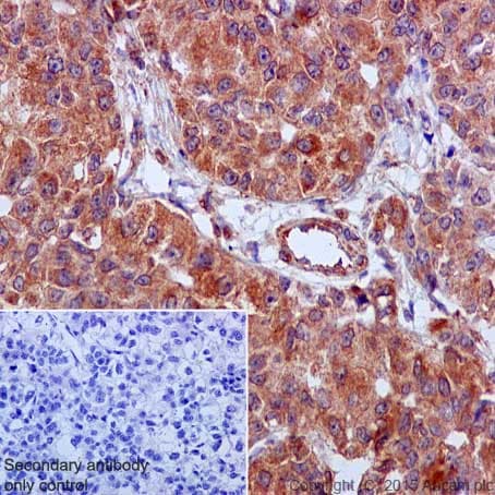
Anti-GRP78 BiP antibody [EPR4041(2)] - BSA and Azide free(AB236050)

$undefined

Anti-GRP78 BiP antibody [EPR4041(2)] - BSA and Azide free(AB236050)

Anti-GRP78 BiP antibody [EPR4041(2)] - BSA and Azide free(AB236050)

Anti-GRP78 BiP antibody [EPR4041(2)] - BSA and Azide free(AB236050)

Anti-GRP78 BiP antibody [EPR4041(2)] - BSA and Azide free(AB236050)

Rabbit Recombinant Monoclonal GRP78 BiP antibody. Carrier free. Suitable for IHC-P, WB, Flow Cyt (Intra) and reacts with Human, Mouse, Rat samples. Cited in 1 publication.
Specifications
Shipped At Conditions Blue Ice
Appropriate Long term Storage Conditions Store at +4°C.
Clonality Monoclonal
Applications Flow Cyt (Intra), ICC/IF, IHC-P, WB
Species Reactivity Human, Mouse, Rat
Isotype IgG