JavaScript is disabled in your browser. Please enable JavaScript to view this website.

Anti-OGT / O-Linked N-Acetylglucosamine Transferase antibody [EPR12713] - BSA and Azide free(AB236014)

$undefined

Ogt O Linked N Acetylglucosamine Transferase Antibody Epr12713 Bsa And Azide Free Ab236014  Flow Cytometry Intracellular Img410079

Ogt O Linked N Acetylglucosamine Transferase Antibody Epr12713 Bsa And Azide Free Ab236014  Immunocytochemistry Immunofluorescence Img410080

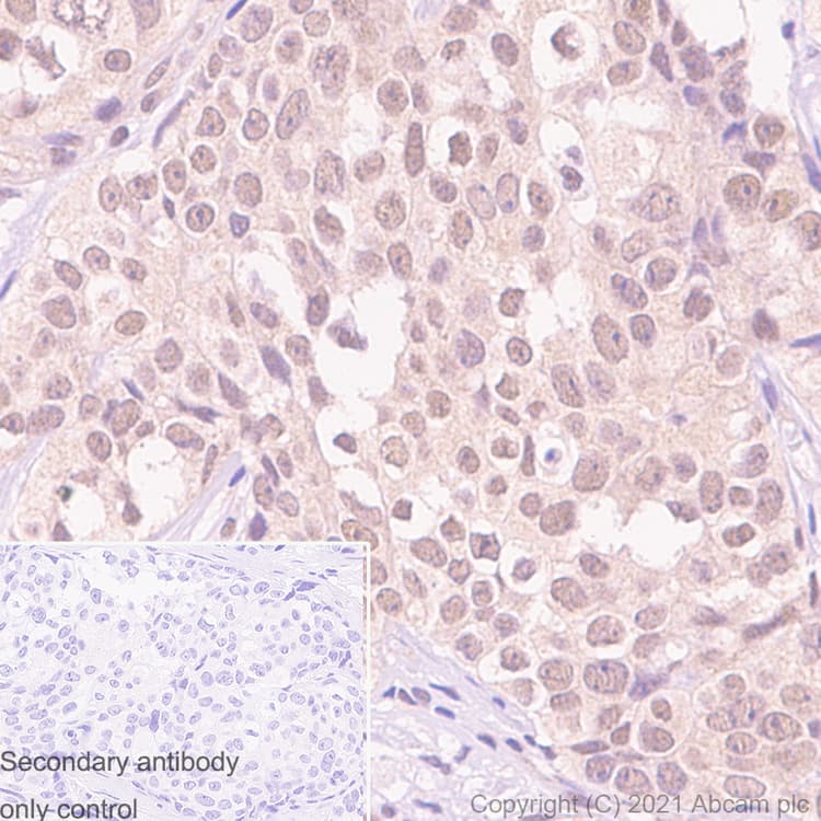
Ogt O Linked N Acetylglucosamine Transferase Antibody Epr12713 Bsa And Azide Free Ab236014  Immunohistochemistry Formalin Pfa Fixed Paraffin Embedded Sections Img410081

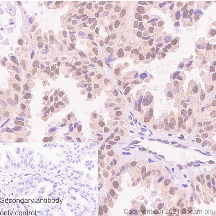
Ogt O Linked N Acetylglucosamine Transferase Antibody Epr12713 Bsa And Azide Free Ab236014  Immunohistochemistry Formalin Pfa Fixed Paraffin Embedded Sections Img410082

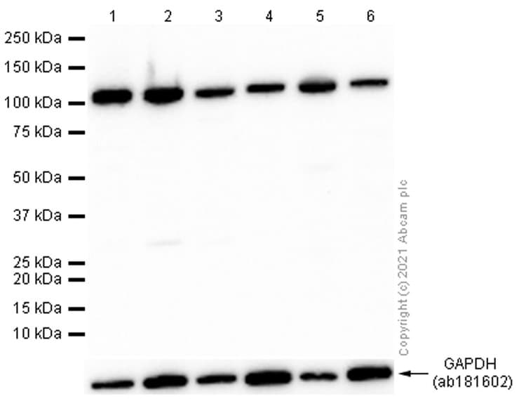
Ogt O Linked N Acetylglucosamine Transferase Antibody Epr12713 Bsa And Azide Free Ab236014  Western Blot Img410083

Rabbit Recombinant Monoclonal OGT / O-Linked N-Acetylglucosamine Transferase antibody. Carrier free. Suitable for IHC-P, WB, ICC/IF, Flow Cyt (Intra) and reacts with Human, Mouse, Rat samples.
Specifications
Shipped At Conditions Blue Ice
Appropriate Long term Storage Conditions Store at +4°C.
Clonality Monoclonal
Applications Flow Cyt (Intra), ICC/IF, IHC-P, WB
Species Reactivity Human, Mouse, Rat
Isotype IgG