JavaScript is disabled in your browser. Please enable JavaScript to view this website.

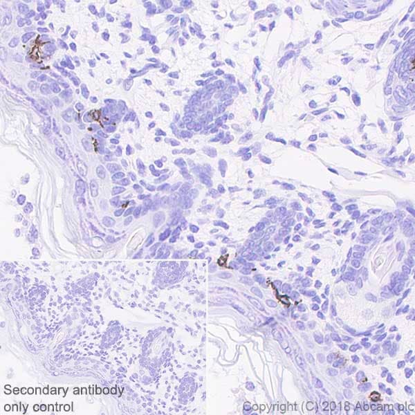
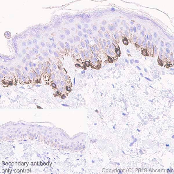
Anti-TRP1 antibody [EPR21960](AB235447)

$undefined

Anti-TRP1 antibody [EPR21960](AB235447)

Anti-TRP1 antibody [EPR21960](AB235447)

Anti-TRP1 antibody [EPR21960](AB235447)

Anti-TRP1 antibody [EPR21960](AB235447)

Anti-TRP1 antibody [EPR21960](AB235447)

Anti-TRP1 antibody [EPR21960](AB235447)

Anti-TRP1 antibody [EPR21960](AB235447)

Anti-TRP1 antibody [EPR21960](AB235447)

Anti-TRP1 antibody [EPR21960](AB235447)

Rabbit Recombinant Monoclonal TRP1 antibody. Suitable for WB, ICC/IF, Flow Cyt (Intra), IHC-P and reacts with Mouse, Human, Rat samples. Cited in 23 publications.
Specifications
Shipped At Conditions Blue Ice
Appropriate Long term Storage Conditions Store at -20°C.
Clonality Monoclonal
Applications Flow Cyt (Intra), ICC/IF, IHC-P, WB
Species Reactivity Human, Mouse, Rat
Isotype IgG