JavaScript is disabled in your browser. Please enable JavaScript to view this website.

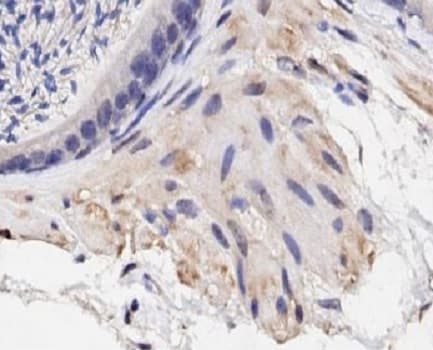
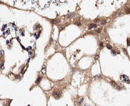
Anti-Collagen IV antibody(AB235296)

$undefined

Anti-Collagen IV antibody(AB235296)

Anti-Collagen IV antibody(AB235296)

Anti-Collagen IV antibody(AB235296)

Goat Polyclonal COL4A1 antibody. Suitable for IHC-P, ICC/IF and reacts with Mouse samples. Cited in 1 publication.
Specifications
Shipped At Conditions Blue Ice
Appropriate Long term Storage Conditions Store at -20°C.
Clonality Polyclonal
Applications ICC/IF, IHC-P
Species Reactivity Mouse
Isotype IgG