JavaScript is disabled in your browser. Please enable JavaScript to view this website.

Anti-Connexin 43 / GJA1 antibody(AB235282)

$undefined

Anti-Connexin 43 / GJA1 antibody(AB235282)

Anti-Connexin 43 / GJA1 antibody(AB235282)

Anti-Connexin 43 / GJA1 antibody(AB235282)

Anti-Connexin 43 / GJA1 antibody(AB235282)

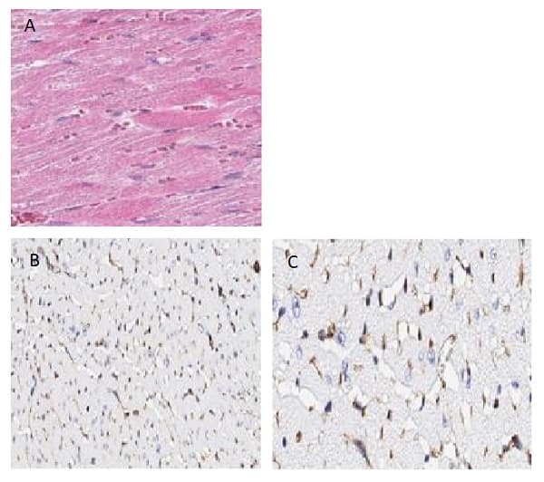
Rabbit Polyclonal Connexin 43 / GJA1 antibody. Suitable for IHC-P, WB, ICC/IF and reacts with Mouse, Rat samples. Cited in 1 publication.
Specifications
Shipped At Conditions Blue Ice
Appropriate Long term Storage Conditions Store at -20°C.
Clonality Polyclonal
Applications ICC/IF, IHC-P, WB
Species Reactivity Mouse, Rat
Isotype IgG