JavaScript is disabled in your browser. Please enable JavaScript to view this website.

Anti-TRP2/DCT antibody [EPR21986] - BSA and Azide free(ab234901)

$undefined

Anti-TRP2/DCT antibody [EPR21986] - BSA and Azide free(ab234901)

Anti-TRP2/DCT antibody [EPR21986] - BSA and Azide free(ab234901)

Anti-TRP2/DCT antibody [EPR21986] - BSA and Azide free(ab234901)

Anti-TRP2/DCT antibody [EPR21986] - BSA and Azide free(ab234901)

Anti-TRP2/DCT antibody [EPR21986] - BSA and Azide free(ab234901)

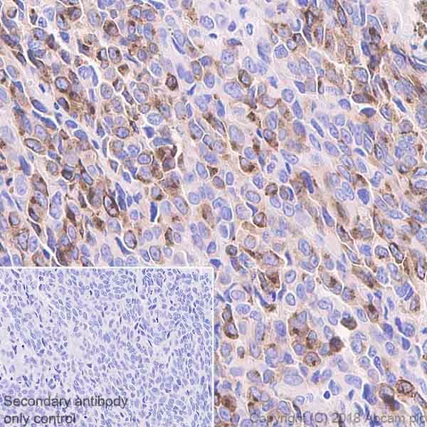
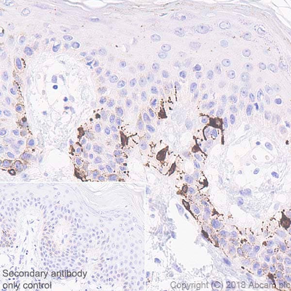
Rabbit Recombinant Monoclonal TRP2/DCT antibody. Carrier free. Suitable for IP, WB, IHC-P, mIHC and reacts with Mouse, Human samples. Cited in 1 publication.
Specifications
Shipped At Conditions Blue Ice
Appropriate Long term Storage Conditions Store at +4°C.
Clonality Monoclonal
Applications IHC-P, IP, WB, mIHC
Species Reactivity Human, Mouse
Isotype IgG