JavaScript is disabled in your browser. Please enable JavaScript to view this website.

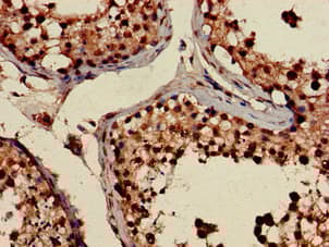
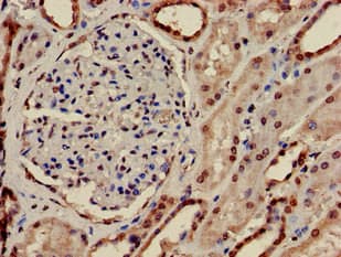
Anti-PRPS2 antibody(ab234886)

$undefined

Anti-PRPS2 antibody(ab234886)

Anti-PRPS2 antibody(ab234886)

Anti-PRPS2 antibody(ab234886)

Anti-PRPS2 antibody(ab234886)

Rabbit Polyclonal PRPS2 antibody. Suitable for WB, IHC-P, ICC/IF and reacts with Rat, Human samples. Immunogen corresponding to Recombinant Fragment Protein within Human PRPS2 aa 1-150.
Specifications
Shipped At Conditions Blue Ice
Appropriate Long term Storage Conditions Store at -20°C.
Clonality Polyclonal
Applications ICC/IF, IHC-P, WB
Species Reactivity Human, Rat
Isotype IgG