JavaScript is disabled in your browser. Please enable JavaScript to view this website.

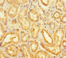
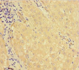
Anti-LSD2 / AOF1 antibody(ab234863)

$undefined

Anti-LSD2 / AOF1 antibody(ab234863)

Anti-LSD2 / AOF1 antibody(ab234863)

Rabbit Polyclonal LSD2 / AOF1 antibody. Suitable for IHC-P and reacts with Human samples. Cited in 2 publications. Immunogen corresponding to Recombinant Fragment Protein within Human KDM1B aa 450-550.
Specifications
Shipped At Conditions Blue Ice
Appropriate Long term Storage Conditions Store at -20°C.
Clonality Polyclonal
Applications IHC-P
Species Reactivity Human
Isotype IgG