JavaScript is disabled in your browser. Please enable JavaScript to view this website.

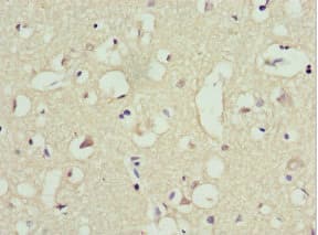
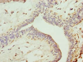
Anti-TRIM13 antibody(ab234847)

$undefined

Anti-TRIM13 antibody(ab234847)

Anti-TRIM13 antibody(ab234847)

Anti-TRIM13 antibody(ab234847)

Rabbit Polyclonal TRIM13 antibody. Suitable for WB, IHC-P and reacts with Human samples. Cited in 3 publications. Immunogen corresponding to Recombinant Fragment Protein within Human E3 ubiquitin-protein ligase TRIM13 aa 1-350.
Specifications
Shipped At Conditions Blue Ice
Appropriate Long term Storage Conditions Store at -20°C.
Clonality Polyclonal
Applications IHC-P, WB
Species Reactivity Human
Isotype IgG