JavaScript is disabled in your browser. Please enable JavaScript to view this website.

Anti-LATS1/WARTS antibody(ab234820)

$undefined

Anti-LATS1/WARTS antibody(ab234820)

Anti-LATS1/WARTS antibody(ab234820)

Anti-LATS1/WARTS antibody(ab234820)

Anti-LATS1/WARTS antibody(ab234820)

Anti-LATS1/WARTS antibody(ab234820)

Anti-LATS1/WARTS antibody(ab234820)

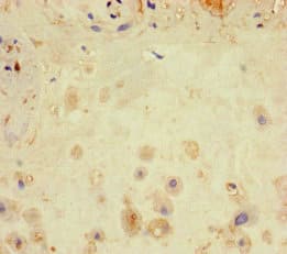
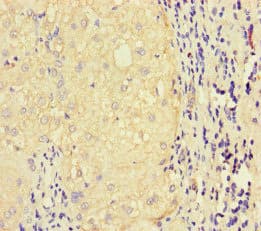
Rabbit Polyclonal LATS1/WARTS antibody. Suitable for IP, IHC-P, ICC/IF and reacts with Human samples. Cited in 5 publications. Immunogen corresponding to Recombinant Fragment Protein within Human LATS1 aa 1-300.
Specifications
Shipped At Conditions Blue Ice
Appropriate Long term Storage Conditions Store at -20°C.
Clonality Polyclonal
Applications ICC/IF, IHC-P, IP
Species Reactivity Human
Isotype IgG