JavaScript is disabled in your browser. Please enable JavaScript to view this website.

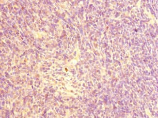
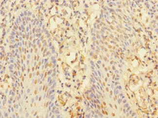
Anti-CHRNA10 antibody(ab234767)

$undefined

Anti-CHRNA10 antibody(ab234767)

Anti-CHRNA10 antibody(ab234767)

Anti-CHRNA10 antibody(ab234767)

Rabbit Polyclonal CHRNA10 antibody. Suitable for WB, IHC-P and reacts with Human samples. Cited in 2 publications. Immunogen corresponding to Recombinant Fragment Protein within Human Neuronal acetylcholine receptor subunit alpha-10 aa 1-250.
Specifications
Shipped At Conditions Blue Ice
Appropriate Long term Storage Conditions Store at -20°C.
Clonality Polyclonal
Applications IHC-P, WB
Species Reactivity Human
Isotype IgG