JavaScript is disabled in your browser. Please enable JavaScript to view this website.

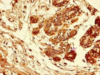
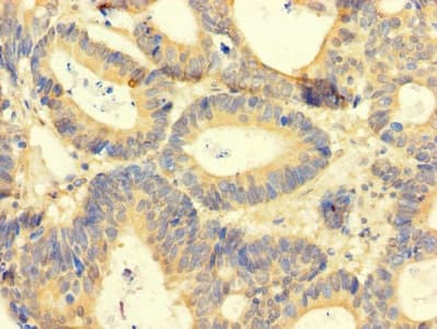
Anti-Amphiregulin antibody(ab234750)

$undefined

Anti-Amphiregulin antibody(ab234750)

Anti-Amphiregulin antibody(ab234750)

Anti-Amphiregulin antibody(ab234750)

Rabbit Polyclonal Amphiregulin antibody. Suitable for IHC-P, ICC/IF and reacts with Human samples. Cited in 1 publication. Immunogen corresponding to Recombinant Fragment Protein within Human AREG aa 100-150.
Specifications
Shipped At Conditions Blue Ice
Appropriate Long term Storage Conditions Store at -20°C.
Clonality Polyclonal
Applications ICC/IF, IHC-P
Species Reactivity Human
Isotype IgG