JavaScript is disabled in your browser. Please enable JavaScript to view this website.

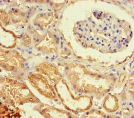
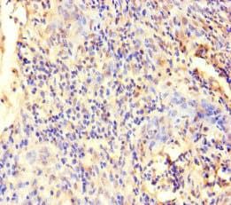
Anti-ECEL1 antibody(ab234710)

$undefined

Anti-ECEL1 antibody(ab234710)

Anti-ECEL1 antibody(ab234710)

Anti-ECEL1 antibody(ab234710)

Anti-ECEL1 antibody(ab234710)

Rabbit Polyclonal ECEL1 antibody. Suitable for IHC-P, ICC/IF and reacts with Human samples. Immunogen corresponding to Recombinant Fragment Protein within Human Endothelin-converting enzyme-like 1 aa 400 to C-terminus.
Specifications
Shipped At Conditions Blue Ice
Appropriate Long term Storage Conditions Store at -20°C.
Clonality Polyclonal
Applications ICC/IF, IHC-P
Species Reactivity Human
Isotype IgG