JavaScript is disabled in your browser. Please enable JavaScript to view this website.

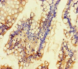
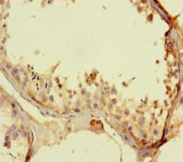
Anti-TALK1 antibody(ab234652)

$undefined

Anti-TALK1 antibody(ab234652)

Anti-TALK1 antibody(ab234652)

Rabbit Polyclonal TALK1 antibody. Suitable for IHC-P and reacts with Human samples. Immunogen corresponding to Recombinant Fragment Protein within Human Potassium channel subfamily K member 16 aa 250 to C-terminus.
Specifications
Shipped At Conditions Blue Ice
Appropriate Long term Storage Conditions Store at -20°C.
Clonality Polyclonal
Applications IHC-P
Species Reactivity Human
Isotype IgG