JavaScript is disabled in your browser. Please enable JavaScript to view this website.

Anti-GNB1L/GY2 antibody(ab234648)

$undefined

Anti-GNB1L/GY2 antibody(ab234648)

Anti-GNB1L/GY2 antibody(ab234648)

Anti-GNB1L/GY2 antibody(ab234648)

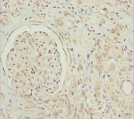
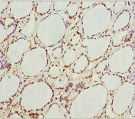
Rabbit Polyclonal GNB1L/GY2 antibody. Suitable for WB, IHC-P and reacts with Mouse, Human samples. Immunogen corresponding to Recombinant Full Length Protein corresponding to Human GNB1L.
Specifications
Shipped At Conditions Blue Ice
Appropriate Long term Storage Conditions Store at -20°C.
Clonality Polyclonal
Applications IHC-P, WB
Species Reactivity Human, Mouse
Isotype IgG