JavaScript is disabled in your browser. Please enable JavaScript to view this website.

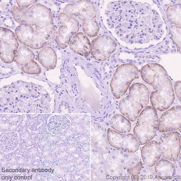
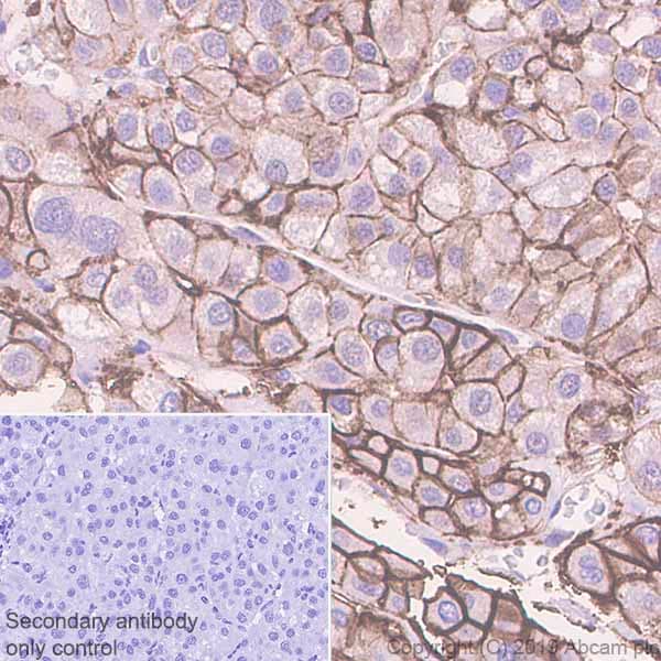
Anti-Glucose Transporter GLUT2 antibody [EPR22946-74](AB234440)

$undefined

Anti-Glucose Transporter GLUT2 antibody [EPR22946-74](AB234440)

Anti-Glucose Transporter GLUT2 antibody [EPR22946-74](AB234440)

Anti-Glucose Transporter GLUT2 antibody [EPR22946-74](AB234440)

Anti-Glucose Transporter GLUT2 antibody [EPR22946-74](AB234440)

Anti-Glucose Transporter GLUT2 antibody [EPR22946-74](AB234440)

Anti-Glucose Transporter GLUT2 antibody [EPR22946-74](AB234440)

Rabbit Recombinant Monoclonal Glucose Transporter GLUT2 antibody. Suitable for mIHC, Flow Cyt, IHC-P and reacts with Human samples. Cited in 2 publications.
Specifications
Shipped At Conditions Blue Ice
Appropriate Long term Storage Conditions Store at -20°C.
Clonality Monoclonal
Applications Flow Cyt, ICC/IF, IHC-P, IP, WB, mIHC
Species Reactivity Human, Mouse, Rat
Isotype IgG