JavaScript is disabled in your browser. Please enable JavaScript to view this website.

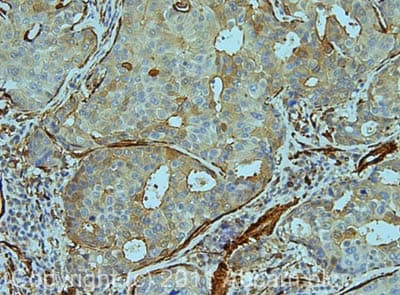
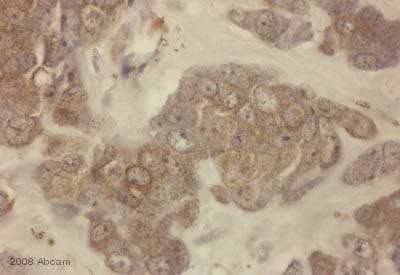
Anti-NOTCH3 antibody(AB23426)

$undefined

Anti-NOTCH3 antibody(AB23426)

Anti-NOTCH3 antibody(AB23426)

Anti-NOTCH3 antibody(AB23426)

Anti-NOTCH3 antibody(AB23426)

Anti-NOTCH3 antibody(AB23426)

Anti-NOTCH3 antibody(AB23426)

Anti-NOTCH3 antibody(AB23426)

Rabbit Polyclonal NOTCH3 antibody. Suitable for WB, IHC-P, ICC/IF and reacts with Human, Mouse samples. Cited in 128 publications.
Specifications
Shipped At Conditions Blue Ice
Appropriate Long term Storage Conditions Store at -20°C.
Clonality Polyclonal
Applications ICC/IF, IHC-P, WB
Species Reactivity Human, Mouse
Isotype IgG