JavaScript is disabled in your browser. Please enable JavaScript to view this website.

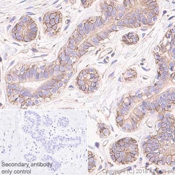
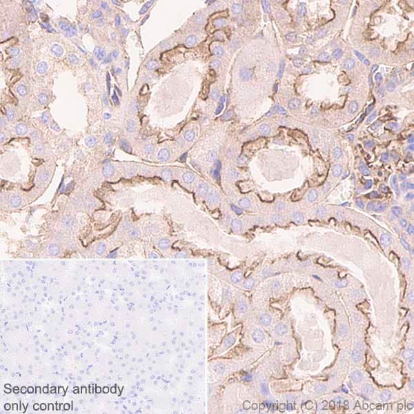
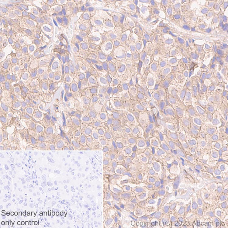
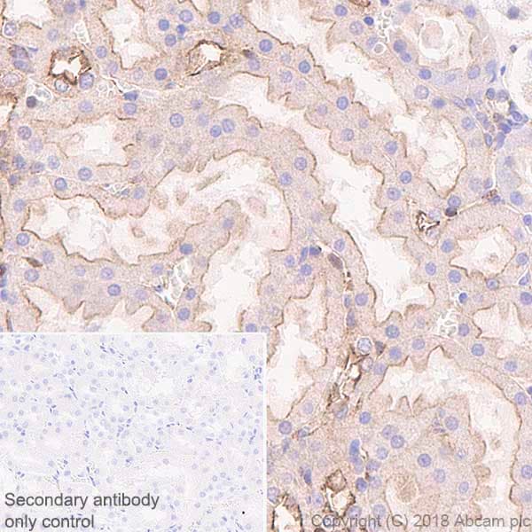
Anti-NUMB antibody [EPR21988] - BSA and Azide free(AB234108)

$undefined

Anti-NUMB antibody [EPR21988] - BSA and Azide free(AB234108)

Anti-NUMB antibody [EPR21988] - BSA and Azide free(AB234108)

Anti-NUMB antibody [EPR21988] - BSA and Azide free(AB234108)

Anti-NUMB antibody [EPR21988] - BSA and Azide free(AB234108)

Anti-NUMB antibody [EPR21988] - BSA and Azide free(AB234108)

Anti-NUMB antibody [EPR21988] - BSA and Azide free(AB234108)

Anti-NUMB antibody [EPR21988] - BSA and Azide free(AB234108)

Rabbit Recombinant Monoclonal NUMB antibody. Carrier free. Suitable for IHC-P, IP, WB, Flow Cyt (Intra) and reacts with Rat, Human, Mouse samples. Cited in 1 publication.
Specifications
Shipped At Conditions Blue Ice
Appropriate Long term Storage Conditions Store at +4°C.
Clonality Monoclonal
Applications Flow Cyt (Intra), IHC-P, IP, WB
Species Reactivity Human, Mouse, Rat
Isotype IgG