JavaScript is disabled in your browser. Please enable JavaScript to view this website.

Anti-TTF1/Nkx2-1 antibody [8G7G3/1](AB233977)

$undefined

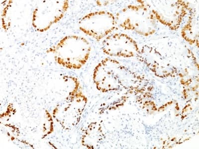
Ttf1 Nkx2 1 Antibody 8g7g3 1 Ab233977  Immunohistochemistry Formalin Pfa Fixed Paraffin Embedded Sections Img104722

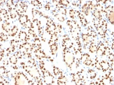
Ttf1 Nkx2 1 Antibody 8g7g3 1 Ab233977  Immunohistochemistry Formalin Pfa Fixed Paraffin Embedded Sections Img136563

Mouse Monoclonal TTF1 antibody. Suitable for IHC-P and reacts with Human samples. Immunogen corresponding to Recombinant Full Length Protein corresponding to Rat Homeobox protein Nkx-2.1.
Specifications
Shipped At Conditions Blue Ice
Appropriate Long term Storage Conditions Store at -20°C.
Clonality Monoclonal
Applications IHC-P
Species Reactivity Human
Isotype IgG1