JavaScript is disabled in your browser. Please enable JavaScript to view this website.

Anti-ACTH antibody [57] - N-terminal(AB233954)

$undefined

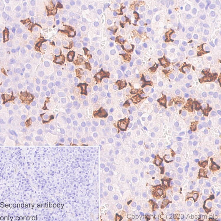
Acth Antibody 57 N Terminal Ab233954  Immunohistochemistry Formalin Pfa Fixed Paraffin Embedded Sections Img166901

Acth Antibody 57 N Terminal Ab233954  Immunohistochemistry Formalin Pfa Fixed Paraffin Embedded Sections Img167301

Acth Antibody 57 N Terminal Ab233954  Immunohistochemistry Formalin Pfa Fixed Paraffin Embedded Sections Img171788

Acth Antibody 57 N Terminal Ab233954  Multiplex Immunohistochemistry Img409635

Acth Antibody 57 N Terminal Ab233954  Multiplex Immunohistochemistry Img416397

Mouse Recombinant Monoclonal POMC antibody. N-terminal. Suitable for mIHC, IHC-P and reacts with Human, Rat, Mouse samples.
Specifications
Shipped At Conditions Blue Ice
Appropriate Long term Storage Conditions Store at -20°C.
Clonality Monoclonal
Applications Flow Cyt, ICC, IHC-P, WB, mIHC
Species Reactivity Human, Mouse, Rat
Isotype IgG1