JavaScript is disabled in your browser. Please enable JavaScript to view this website.

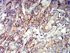
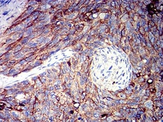
Anti-CD166 antibody [3D9F1](AB233750)

$undefined

Anti-CD166 antibody [3D9F1](AB233750)

Anti-CD166 antibody [3D9F1](AB233750)

Anti-CD166 antibody [3D9F1](AB233750)

Anti-CD166 antibody [3D9F1](AB233750)

Anti-CD166 antibody [3D9F1](AB233750)

Mouse Monoclonal CD166 antibody. Suitable for Flow Cyt, WB, IHC-P and reacts with Human samples. Cited in 3 publications. Immunogen corresponding to Recombinant Fragment Protein within Human ALCAM aa 200-400.
Specifications
Shipped At Conditions Blue Ice
Appropriate Long term Storage Conditions Store at -20°C.
Clonality Monoclonal
Applications Flow Cyt, IHC-P, WB
Species Reactivity Human
Isotype IgG1