JavaScript is disabled in your browser. Please enable JavaScript to view this website.

Anti-KLB antibody(ab233416)

$undefined

Anti-KLB antibody(ab233416)

Anti-KLB antibody(ab233416)

Anti-KLB antibody(ab233416)

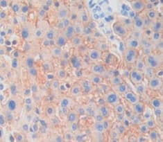
Rabbit Polyclonal KLB antibody. Suitable for IHC-P and reacts with Human samples. Cited in 2 publications. Immunogen corresponding to Recombinant Fragment Protein within Human Beta-klotho aa 500-650.
Specifications
Shipped At Conditions Blue Ice
Appropriate Long term Storage Conditions Store at -20°C.
Clonality Polyclonal
Applications IHC-P
Species Reactivity Human
Isotype IgG