JavaScript is disabled in your browser. Please enable JavaScript to view this website.

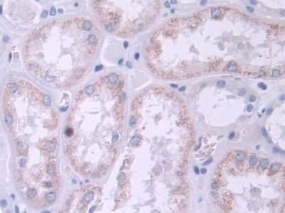
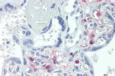
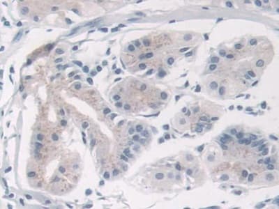
Anti-TRPC6 antibody(ab233413)

$undefined

Anti-TRPC6 antibody(ab233413)

Anti-TRPC6 antibody(ab233413)

Anti-TRPC6 antibody(ab233413)

Anti-TRPC6 antibody(ab233413)

Anti-TRPC6 antibody(ab233413)

Anti-TRPC6 antibody(ab233413)

Anti-TRPC6 antibody(ab233413)

Anti-TRPC6 antibody(ab233413)

Rabbit Polyclonal TRPC6 antibody. Suitable for WB, IHC-P and reacts with Pig, Human samples. Cited in 1 publication. Immunogen corresponding to Recombinant Fragment Protein within Human Short transient receptor potential channel 6 aa 1-200.
Specifications
Shipped At Conditions Blue Ice
Appropriate Long term Storage Conditions Store at -20°C.
Clonality Polyclonal
Applications IHC-P, WB
Species Reactivity Human, Pig
Isotype IgG