JavaScript is disabled in your browser. Please enable JavaScript to view this website.

Anti-abi-1 antibody(ab233412)

$undefined

Anti-abi-1 antibody(ab233412)

Anti-abi-1 antibody(ab233412)

Anti-abi-1 antibody(ab233412)

Anti-abi-1 antibody(ab233412)

Anti-abi-1 antibody(ab233412)

Anti-abi-1 antibody(ab233412)

Anti-abi-1 antibody(ab233412)

Anti-abi-1 antibody(ab233412)

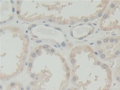
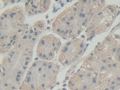
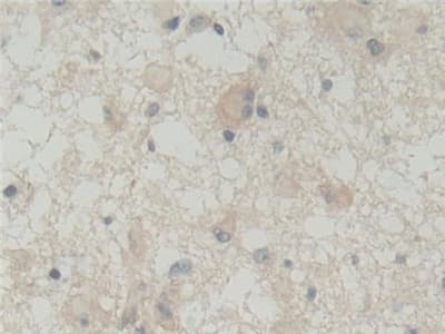
Rabbit Polyclonal abi-1 antibody. Suitable for WB, IHC-P and reacts with Human, Recombinant full length protein - Human, Pig samples. Immunogen corresponding to Recombinant Fragment Protein within Human abl interactor 1 aa 1-200.
Specifications
Shipped At Conditions Blue Ice
Appropriate Long term Storage Conditions Store at -20°C.
Clonality Polyclonal
Applications IHC-P, WB
Species Reactivity Human, Pig
Isotype IgG